EMS Air-Flow Dental Spa

Modern, minimally invasive prophylaxis and guided biofilm therapy (GBT) ensures efficient biofilm removal. This ensures your teeth cleaning much faster, efficiently and comfortably.

Cleaner teeth, healthier life

Professional teeth cleaning is necessary to deliver a beautiful smile and to maintain healthy teeth. It removes harmful plaque (called biofilm) on teeth and gum. It is the only way to prevent gum disease (periodontitis) and tooth decay (caries), both identified as common diseases by WHO (World Health Organisation).

With Dental Spa Cleaning: No more pain, no more fear!

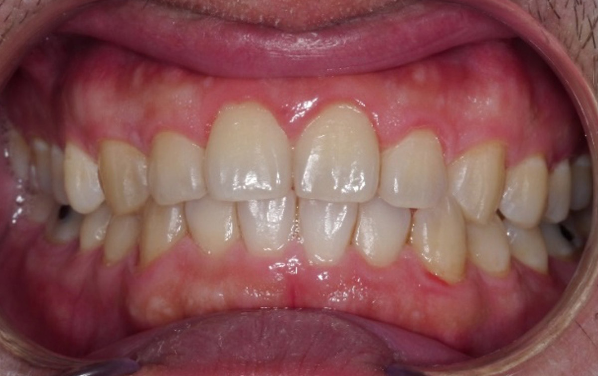
Before: Dirty areas of the teeth are clearly visible after applying a plaque-disclosing agent, allowing for more precise and efficient teeth cleaning.
After: Teeth are looking perfectly clean and healthy!

Experience It Now